
您现在的位置:
主页
> 健康讲堂 >
科普文章
健康讲堂
联系我们
联系电话:
0411-84211244,81880298
我们的位置:
大连市沙河口区黄河路890号
开学伊始,小伙们竟患上相同的疾病—气胸
发布日期:2024-10-10 浏览:22451次
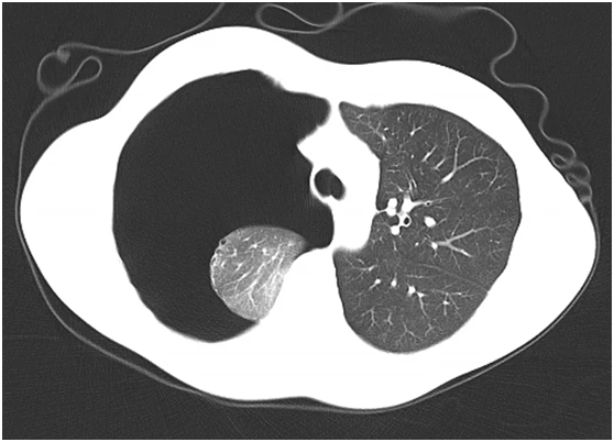
九月的阳光,温暖而明媚,洒落在校园的每一个角落。在这个充满希望的季节里,各个学校迎来了新学期的开始。近日,就读某大学的18岁大一新生小李在辅导员和室友的陪伴下,来到大连市第五人民医院胸外一科就诊。小李一脸痛苦、呼吸急促、面色苍白、嘴唇发紫,经过医生快速了解病史并行CT检查后发现,小李的右侧肺患了气胸,肺已经被压缩了90%!医生进一步询问病史后得知,这是小李第二次犯气胸了,第一次犯病的时候,肺组织被压缩了约20%,当时采取了保守观察治疗。
纵膈和气管移位
在全面告知病情及后续治疗方案后,小李决定接受单孔胸腔镜手术治疗。手术进行得非常顺利,小李大约一个小时就回到了病房。术后很快拔除了身上引流管,身体恢复得也很好,很快就回归了校园。
无独有偶,自九月份开学至今,大连市第五人民医院胸外一科已经陆续接诊治疗了多位和小李年龄相仿的自发性气胸的学生。
什么是气胸
气胸是指因肺部疾病使肺组织和脏层胸膜破裂,或靠近肺表面的肺大疱、细微气肿疱自行破裂,使肺和支气管内空气漏到胸腔,压缩肺组织。通俗地讲,肺就像是轮胎,轮胎爆胎,漏气了。
有哪些症状
突发胸痛,多局限于患侧,呈针刺样或刀割样疼痛;胸闷、呼吸困难,严重者可发生休克;自发性气胸可发生于持重物、剧烈运动、屏气后,但多数人无明显诱因。如何确诊气胸X线:准确、可靠、便捷。CT检查:可显示少量气胸或普通胸片因重叠显示不清的气胸;有利于局限性气胸的观察;预测气胸复发(发现肺大疱)。
如何治疗气胸
1.保守治疗
如果是新发气胸病人,闯进胸膜腔的气体比较少,呼吸也正常,治疗就比较简单,只需安静卧床,休息一个礼拜,吸吸氧就可以啦。那些闯入胸膜腔的气体,身体会很聪明地把它们吸收掉。
2.排气疗法
大量的肺泡破了,闯入胸膜腔的气体比较多,人呼吸也比较困难了,该怎么办?通过放气,把闯入胸膜腔的气体排出来,减小对肺的压力,让肺重新舒张,逐步恢复正常。
3.胸膜粘连术
如果是汽车的轮胎漏气了,咋整?补上漏洞呀!肺泡烂了,胸膜也炸出个口子,这才让气体有了进入胸膜腔的机会。先把闯入胸膜腔里的气体抽干净,再开始修补胸膜上的破洞,这就是医学上讲的胸膜粘连术。通过往胸膜腔内注入硬化剂,使胸膜产生炎症,经过一系列炎症反应后,两层胸膜就会粘在一起。
4.外科手术治疗(单孔胸腔镜手术)
简单的肺大疱切除手术时间短,大约十几分钟,风险也比较小,患者术后恢复很快,一般3-4天可以出院。
养肺三句话肺泡不结实的年轻人,大喊大叫要不得,玩命运动也伤身,肺得养!总觉得胸闷气短的朋友们,不要掉以轻心,早查早治是关键!真的确诊了气胸,不要惊慌,配合医生好好治疗,肯定能好!