数月前一个周一清晨,老李攥着一份体检报告,眉头紧锁地来到大连市五院肿瘤科门诊。“医生,我媳妇非逼着我来做这个‘什么螺旋CT’的,我平时连个咳嗽都没有,你看这写的‘磨玻璃结节’,这到底是什么东西?是不是就是癌?”他的语气里,七分是焦虑,三分是侥幸——焦虑的是发现了“磨玻璃结节”,侥幸的是发现得还算及时。
几个月后,经过微创手术治疗、回到大连市五院复查的老李感慨道:“幸亏做了螺旋CT检查,要不然还发现不了结节,医生说我是不幸中的万幸,再晚半年手术,可能就完全是另一番光景了!”类似老李这样的故事,每天都在医院里以不同的版本上演,它清晰地指向一个主题:肺癌筛查,不是在制造焦虑,而是在创造生机。
沉默的杀手:为什么肺癌需要被“筛查”
肺癌,长期以来位居我国居民癌症发病率和死亡率首位。它之所以凶险,很大程度在于其早期“沉默不语”。我们的肺部没有痛觉神经,当一个很小的肿瘤悄然生长时,人体几乎感觉不到任何异常。一旦出现持续的咳嗽、咳血、胸痛、气短等症状,往往意味着肿瘤已经长得比较大,甚至发生了转移,此时治疗难度大,预后也差。
而肺癌筛查的目的,就是在“敌人”尚未露出狰狞面目时,就将其识别出来。这就像一场守城战,肺癌筛查就是在城墙之外布下的最远一道哨卡,让我们能在敌人最弱小的时候精准出击,事半功倍。
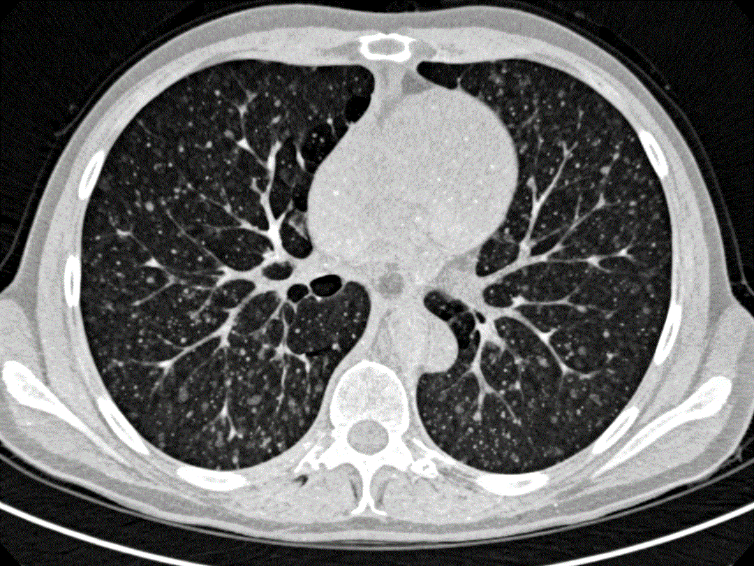
低剂量螺旋CT:肺癌筛查的“火眼金睛”
过去,很多人依赖胸片(X光)来检查肺部。但胸片就像一张把整个肺部“压扁”了的平面图,很多早期、微小的病灶很容易被心脏、肋骨、血管等组织遮挡,难以被发现。
而如今筛查的“金标准”——低剂量螺旋CT,则像是给肺部做了一次精细的“切片扫描”。它能生成数百张清晰的横断面图像,将肺里的情况一览无余。即便是小至几毫米的“磨玻璃结节”(一种早期肺癌的常见表现),也难逃它的法眼。
谁需要进行筛查?——看清这张“风险地图”
并非所有人都需要每年进行肺癌筛查。科学筛查的核心是瞄准高风险人群,避免不必要的检查和焦虑。根据国内外权威指南,建议以下人群应定期进行低剂量螺旋CT筛查:
1.长期吸烟者:这是最核心的风险因素。吸烟指数≥ 20包•年(包•年=每天吸烟包数×吸烟年数)的人群,例如每天吸一包烟、吸了20年,就是20包•年;无论是现在仍在吸烟还是已戒烟,但戒烟时间未超过15年的。
查出肺结节≠肺癌
“低剂量”三个字是关键。一次低剂量螺旋CT的辐射剂量,仅相当于常规CT的1/5-1/10,甚至只相当于我们一年生活中接受的自然背景辐射量,非常安全,适合作为健康人群的年度检查项目。
2.有职业暴露史者:长期接触石棉、氡气、铍、铀、柴油废气等致癌物质的人群。
3.有家族史者:直系亲属(父母、子女、兄弟姐妹)患有肺癌。
4.有慢性肺病史者:如慢性阻塞性肺疾病(COPD)或肺纤维化。
5.年龄因素:通常建议50岁以上的人群开始评估风险并考虑筛查。
如果您符合以上条件,建议与医生沟通制定筛查计划,及早进行肺癌筛查。
发现结节后,大家切勿恐慌。医生会根据结节的大小、密度、形态等特征,进行专业的风险评估,并给出明确的随访建议(如3个月、6个月或1年后复查)。绝大多数结节只需要定期观察,只有少数具有危险特征的结节才需要进一步诊断或干预。筛查的意义,正是在于建立这份“健康档案”,进行动态管理。
与其在出现症状后被动应战,不如在风平浪静时主动布防。了解风险、科学筛查,这是我们为自己的健康做出的最明智、最有力的选择之一。
版权所有:大连市第五人民医院
电话:0411-84211244(24小时) 0411-81880298(07:30-16:30)
投诉举报电话:0411-81880136、0411-81880116
(正常工作日07:30-11:30 13:00—16:30)
地址:大连市沙河口区黄河路890号
技术支持:大连龙采科技开发有限公司
您是第
辽公网安备 21020402000388号
扫描二维码进入手机网站
扫描二维码进入手机网站