“喂,内镜中心吗,我是急诊科,你们快来人看看吧,有人假牙掉食道里了!”5月19日,大连市第五人民医院内镜中心接到了来自急诊科的电话。接到电话后,内镜中心卢茜医生立刻赶往急诊科会诊。
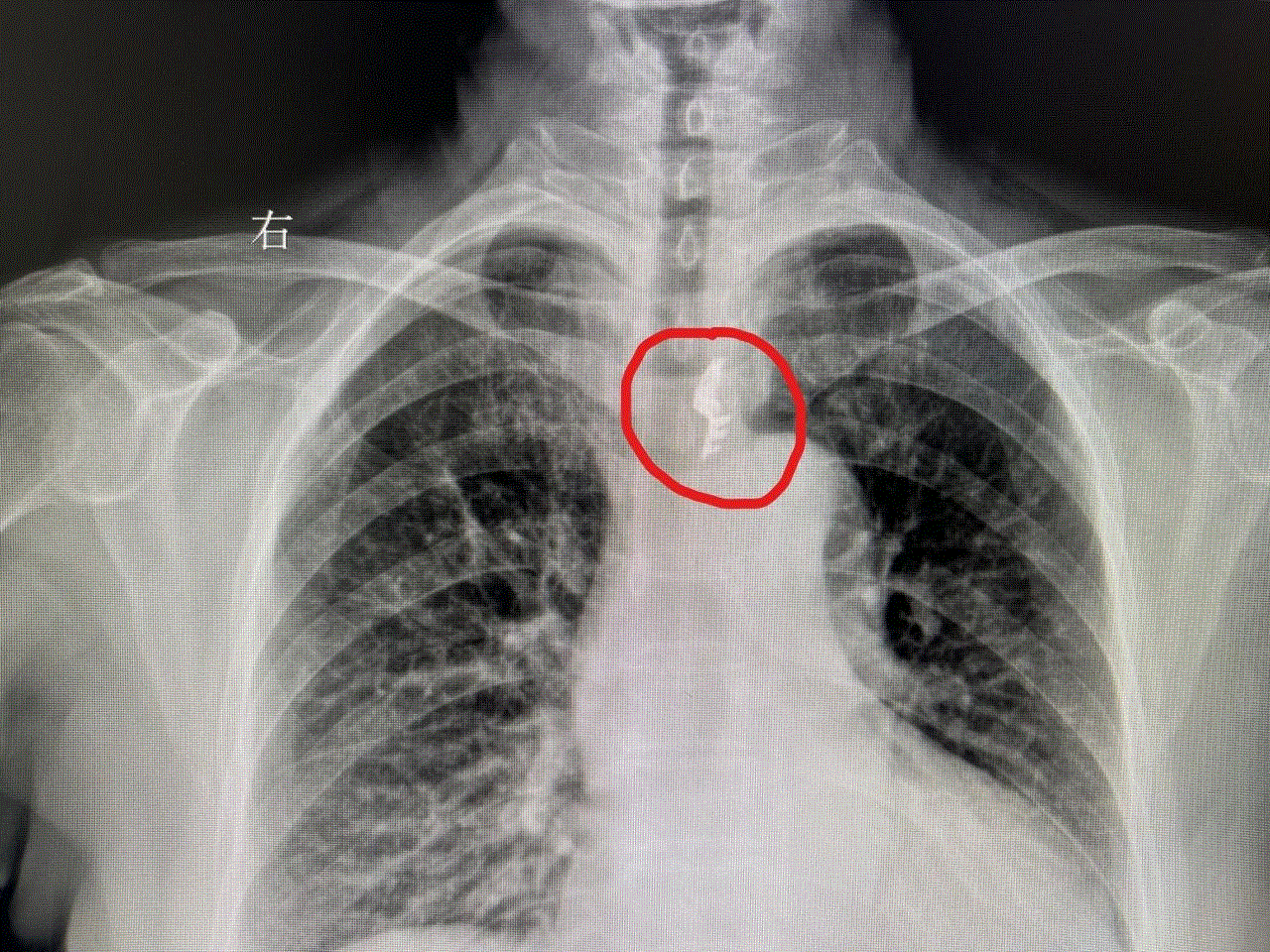
经了解,原来是70岁的赵阿姨误吞了假牙,胸片显示假牙在食道上段滞留。因为假牙可能会有挂钩等尖锐金属,所以食道随时都有被刺穿的危机,取出假牙刻不容缓!
卢医生立即带着赵阿姨和家属到内镜中心就诊。经进一步询问,原来是赵阿姨在吃饭的时候,假牙不慎脱落被误吞;吞入假牙后,赵阿姨出现了哽咽、胸骨后疼痛等症状,遂来到大连市第五人民医院就诊。为确保赵阿姨的假牙能够顺利取出,麻醉科朱玉成副主任对赵阿姨的身体状况进行评估,精准制定了麻醉方案。
手术后开始后,卢医生凭借高超的内镜技术,利用网篮将卡在食道的假牙尖锐的金属挂钩“保护”在透明帽内,以避免取出时划伤黏膜。
随后,卢医生顺着食道,慢慢拖拽网篮,最终成功将假牙取出。
经测量,假牙竟然有3cm长,并且一端带有金属挂钩,万幸地是被及时取出并未刺穿食道。

假牙取出后,赵阿姨状态明显好转,赵阿姨对医护人员说道:“这枚假牙经常松动,甚至脱落,没想到这次竟然混着面包一起吞了下去……”
大连市第五人民医院内镜中心温馨提示:误吞异物应当第一时间禁止进食、喝水,立即就医;老年人一旦发现假牙松动,要及时就医修复假牙,避免误吞;吃饭时注意力要集中,不要说话,仔细咀嚼,避免大口吞咽食物。
大连市第五人民医院内镜中心与麻醉科专业团队强强联手,致力于为患者量身定制安全可靠的手术方案。守护健康不等待,误吞异物别慌张,大连市第五人民医院内镜中心竭诚为您的生命安全保驾护航!
版权所有:大连市第五人民医院
电话:0411-84211244(24小时) 0411-81880298(07:30-16:30)
投诉举报电话:0411-81880136、0411-81880116
(正常工作日07:30-11:30 13:00—16:30)
地址:大连市沙河口区黄河路890号
技术支持:大连龙采科技开发有限公司
您是第
辽公网安备 21020402000388号
扫描二维码进入手机网站
扫描二维码进入手机网站